Home » About » Smile Gallery

Our Patients’ Smile Transformations

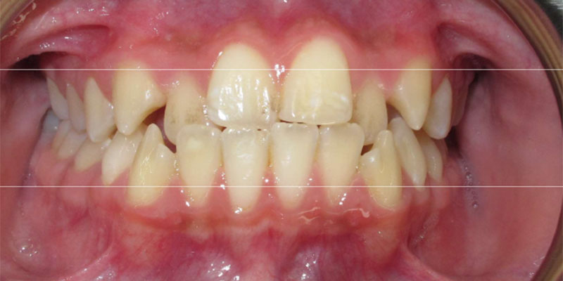
This smile gallery features just a few examples of the smile transformations that have come from our office. Use the slider to see the changes from the beginning to the end of treatment.

Kid's Dentist Near You

Pleasantburg Family Dentistry

225 S. Pleasantburg Dr. Suite E10
Greenville, SC 29607

Phone:

(864) 233-7737

Hours

Monday: 9:00 AM - 5:00 PM
Tuesday: 11:00 AM - 7:00 PM
Wednesday: 9:00 AM - 5:00 PM
Thursday: 9:00 AM - 5:00 PM
Friday: 8:00 AM - 12:00 PM
Saturday: Closed
Sunday: Closed

Creating Healthy Habits That Last A Lifetime

Call Our Office Today!

(864) 233-7737

Kidsperience Castle